Рентгеновское отделение
- Научно-практические мероприятия
- Высокотехнологичная медицинская помощь
- Клиника
- Госпитализация
- Консультативное отделение
- Психиатрия
- Психотерапия
- Стоимость услуг
- Структура клиники
- Центр лечения расстройств памяти
- Диагностика
- Информация для граждан
- Платные медицинские услуги
- Сведения о медицинской организации
- 1-е отделение биологической терапии психически больных
- Информация для иностранных граждан
- Нормативно-правовая информация
- 2-е отделение интегративной фармако-психотерапии
- Клинические Исследования
- 3-е отделение гериатрической психиатрии.
- 4-е отделение лечения психических расстройств у детей
- 5-е отделение лечения алкоголизма и наркоманий
- 6-е отделение коморбидных неврологических заболеваний
- 7-е отделение лечения осложненных форм эпилепсии
- 8-е отделение хирургического лечения нервных и психических расстройств
- 9-е отделение пограничных психических состояний и психотерапии
- 10-е отделение — Центр лечения депрессии и тревоги
- 11-е отделение лечения психических расстройств у подростков
- Отделение терапии амбулаторных больных с аддиктивными расстройствами
- Рентгеновское отделение
- Отделение молекулярно-генетической диагностики
- Популярные материалы для пациентов
- Физиотерапевтическое отделение
- Отделение клинической психологии
- Контакты
- Лекция: “Побочные эффекты антипсихотической терапии и современные способы их коррекции”
- НМО
- О центре
- Образование
- Организационно-методические подразделения
- ПОЛИТИКА ОБРАБОТКИ ПЕРСОНАЛЬНЫХ ДАННЫХ
- Совет молодых ученых
- Постерная сессия Совета молодых учёных в рамках конференции , посвященной 90-летию со дня рождения Б.Д. Карвасарского: «Альянс психологии, психотерапии и фармакотерапии. Наука и реальный мир в лечении психических расстройств»
- Anniversary of Experimental Substantiation and Series of Publications on the Role of Serotonin in Depression, Organised by Izyaslav Lapin
- Форум
- Главная
- Научный центр
- Южно-Российский семинар
- Web of Science Core Collection
- Байкальский семинар 24-30 сентября 2024
- Байкальский семинар 25 сентября-01 октября 2025 г.
- Никто не забыт, ничто не забыто
Подразделение является клинической базой для Отделение нейровизуализационных исследований
Запись на обследование:
8(812)670-02-28 , 8(812)670-02-29
Понедельник – суббота с 8.30 до 19:00
Акция! Комплексные программы обследования со скидкой
Стоимость наших услуг
В рентгеновском отделении центра Вы можете получить следующие виды услуг:
- магнитно-резонансная томография
- компьютерная рентгеновская томография
- количественная компьютерная томография (QCT) для исследования остеопороза
- транскраниальная допплерография
- все виды ультразвуковых обследований, в том числе дуплексное сканирование сосудов шеи, головного мозга, артерий и вен нижних конечностей, эхокардиография
- все виды рентгеновских обследований
Высокое качество обследования
Обследование без очереди и по доступной цене
Обследования взрослых и детей
Исследования проводят квалифицированные специалисты, доктора и кандидаты медицинских наук
Если Вам и Вашим близким требуется компьютерная томография, мы готовы выполнить исследование быстро, оперативно, согласно самым современным методикам.
МНОГОСРЕЗОВАЯ КОМПЬЮТЕРНАЯ РЕНТГЕНОВСКАЯ ТОМОГРАФИЯ


КТ Canon Aquilion ONE– ультрасовременный спиральный компьютерный томограф с 640 срезами и детектором шириной 160 мм.
Сканирует все тело пациента за 3 секунды
Компьютерный томографический сканер Aquilion ONE имеет сверхширокий детектор 160 мм. Его использование позволяет обойтись без спирального сканирования сердца, мозга или других областей, получить изображение органа целиком и провести исследование за один оборот гентри.
Благодаря такой возможности минимизируются артефакты от движения пациента, снижается лучевая нагрузка и объем контрастного вещества.
Технологии снижения лучевой нагрузки:
- До 85,3% снижение дозы с улучшенным качеством изображения
- Пакет контроля за уровнем дозы и построение отчетов по пациенту.
- Сверхбыстрая реконструкция FIRST не только позволяет сократить время исследования, но и получить четкие изображения при низкой нагрузке.
- Максимальный вес пациента – 300 кг;
- Применимо ко всем режимам сканирования
- Объемное сканирование (320 изображений) = прибл. 3 мин.
- Спиральное сканирование (500 изображений) = прибл. 6 мин.
- Прогнозируемая модель итеративной реконструируемой модели
- Короткий туннель менее 40 см для большего комфорта обследуемых и улучшенного доступа медицинского персонала.
- Наклон гентри +/- 30 градусов позволяет избежать облучения рентгенчувствительных органов.



[ закрыть ]
АСИНХРОННАЯ КОЛИЧЕСТВЕННАЯ КОМПЬЮТЕРНАЯ ТОМОГРАФИЯ (QCT)
QCT PRO— для трёхмерной QCT позвоночника и шейки бедра
QCT PRO это система, состоящая из калибрационных фантомов и программного обеспечения для оценки минеральной плотности костной ткани (МПКТ) позвоночникаи шейки бедра.
Новая технология не требует использования фантома под пациентом
Асинхронная QCT ускоряет измерение МПКТ и обеспечивает внеплановую QCT и двоякое применение КТ—возможность получения измерений МПКТ из результатов КТ-сканирования, проделанного по другим показаниям —и, следовательно, обеспечивая возможность значительного увеличения скрининга остепороза при отсутствии дополнительной дозы радиационного облучения для пациента.
Корректность и кратковременную точность измерения минеральной плотности костной ткани (МПКТ).
Быстрое, низко- или бездозовое измерение МПКТ Выполнение QCT МПКТ занимает около 5 минут, и оно очень похоже на обычное КТ-сканирование брюшной полости/таза. При этом используются низкодозовые протоколы CT, так что доза радиационного облучения составляет 500–800 μSv, что сопоставимо с выполнением маммографии. Внеплановая или двоякого применения QCT исключает необходимость дополнительного КТсканирования и, следовательно, обеспечивает результат измерения МПКТ без добавочной дозы радиационного облучения для пациента.
В области позвоночника QCT уникальна и отличается отдвухэнергетической рентгеновской абсорбциометрии (DXA), так как QCT измеряет трабекулярную кость изолированно от кортикальной кости, таким образом избегая факторов, связанных с дегенеративными изменениями, присутствием сколиоза, внекостнойкальцификации и ожирения которые могут затруднить интерпретацию измерений методом DXA.


Показания к проведению денситометрии
Проведение остеоденситометрии показано:
1) Женщинам в возрасте старше 40 лет (при риске развития постменапаузального остеопороза) и мужчинам старше 60 лет (при риске развития постандропаузального остеопороза
2) Женщинам, имеющим частые беременности, заканчивающиеся родами, а также длительно (более 9 месяцев) кормящим грудью.
3) При ранней менопаузе до 45 лет (в том числе хирургической).
4) Пациентам с различным формами нарушения кальций-фосфорного обмена.
5) Пациентам с нарушением работы эндокринной системы (болезнь и синдром ИценкоКушинга, тиреотоксикоз, гипогонадизм, гиперпаратиреоз, инсулинозависимый сахарный диабет, гипопитуитаризм).
6) Пациентам с переломами при минимальных травмах (особенно если прошло менее 5 лет после предыдущего перелома).
7) Пациентам с ревматическими болезнями (ревматоидный артрит, СКВ, системная красная волчанка, анкилозирующий спондилоартрит).
8) Пациентам с заболеваниями органов пищеварения (состояние после резекции желудка, синдром мальабсорбции, хронические заболевания печени).
9) Пациентам с заболеваниями почек (хроническая почечная недостаточность, почечный канальный ацидоз).
10) Пациентам с заболеваниями крови (миеломная болезнь, талассемия, системный мастоцитоз, лейкозы и лимфомы).
11) Пациентам с генетическими нарушениями (несовершенный остеогенез, синдром Марфана, синдром Элерса-Данло, гомоцистинурия и лизинурия).
12) Больным, принимающие препараты снижающие плотность костной ткани (кортикостероидные препараты, контрацептивы, противосудорожные препараты, антипсихотики, антидепрессанты,иммунодепрессанты, агонисты гонадотропин-релизинг гормона, антациды содержащие алюминий, тиреоидные гормоны).
13) Пациентам с такими факторами риска развития остеопороза, как: – склонность к падениям (по различным причинам); – гиподинамия (в т.ч. постельный режим более двух месяцев, пользование инвалидным креслом и другими вспомогательными средствами передвижения, иммобилизация); – трансплантация органов; – нервная анорексия; – хронические обструктивные заболевания легких; несбалансированное питание (малое содержание в пище кальция, витамина Д, употребление большого количества напитков с кофеином), соблюдение различных разгрузочных диет, лечебное голодание и т.п.; – курение и злоупотребление алкоголем.
14) Для контроля за приемом препаратов, содержащих кальций, а также при комплексном медикаментозном лечении остеопороза.
Независимо от причин обращения к врачу денситометрия должна быть рекомендована всем женщинам старше 65 лет и мужчинам старше 70 лет. После достижения указанного возраста денситометрия становится методом скрининга при профилактике остеопороза
[ закрыть ]
МАГНИТНО-РЕЗОНАНСНАЯ ТОМОГРАФИЯ

В отделении установлен МР томограф – GE Signa Artist, с магнитным полем 1,5 Тесла
- Улучшенные диагностические возможности и выдающееся качество изображений
- Безопасность и комфорт: широкий короткий тоннель (70 см)
- Освещение/вентиляция для пациента в канале магнита: повышает комфорт пациента в канале магнита при сканировании.
- Кислородный монитор: этот монитор автоматически активирует блок вентиляции, установленный пользователем, если в помещении для сканирования снижается уровень кислорода.
- Проводятся обследования всех органов и систем, в том числе с использованием уникальных методик
- Прицельная МРТ у пациентов с эпилепсией, задержкой психического развития у детей и т.д.
- Специализированное МРТ исследование у пациентов с деменциями, в том числе с болезнью Альцгеймера, болезнью Паркинсона и т.д.
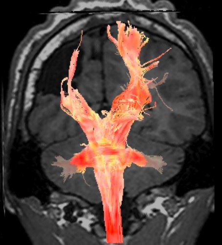
- МР трактография для уточнения поражения волокон белого вещества
- МР морфометрия с последующим выполнением сегментации и определением объемов структур и толщины коры, субполей и субсегментов гиппокампа, в том числе в динамике для уточнения нарастания атрофических изменений головного мозга.
[ закрыть ]
ВИДЫ мрт ИССЛЕДОВАНИЙ, ВЫПОЛНЯЕМЫХ В ЦЕНТРЕ:
- МРТ головного мозга
- МРТ гипофиза
- МРТ мягких тканей
- МРТ позвоночника и спинного мозга
- МРТ органов брюшной полости
- МРТ органов малого таза
- МРТ суставов
- Все виды МР ангиографий (бесконтрастная и контрастная), в том числе:
- МРТ артерий шеи и головного мозга
- МР венография головного мозга, в том числе по уникальной методике «черная кровь»
- МРТ артерий и вен нижних конечностей
- Бесконтрастная ангиография почечных артерий
- Бесконтрастная ангиография портальной вены
- МР ликвородинамика
- МРТ исследование медиобазальных отделов височных долей (гиппокампов)
Запись данных исследования на CD-диск
После обследования Вы можете получить консультации невролога, нейрохирурга, психиатра и психотерапевта в консультативном отделении НМИЦ
[ закрыть ]
СПЕЦИАЛИЗИРОВАННЫЕ МРТ ОБСЛЕДОВАНИЯ

Проводятся специализированные обследования, в том числе с использованием уникальных методик
- При нейродегенеративных заболеваниях (болезни Альцгеймера, Паркинсона и др.):
– Высокоточная оценка атрофии гиппокампа и коры головного мозга
– Визуализация специфических изменений в глубоких структурах мозга
– Возможности для планирования и контроля терапии.
- При эпилепсии:
– Детальнейшая визуализация височных долей для поиска очага (эпилептогенной зоны).
– Выявление структурных аномалий (аномалии коры, энцефалоцеле, опухоли и др), которые могут быть причиной приступов
– Критически важная информация для решения вопроса о нейрохирургическом лечении.
- МР трактография для уточнения поражения волокон белого вещества
- МР морфометрия с последующим выполнением сегментации и определением объемов структур и толщины коры, субполей и субсегментов гиппокампа, в том числе в динамике для уточнения нарастания атрофических изменений головного мозга
[ закрыть ]
ТРАНСКРАНИАЛЬНАЯ ДОППЛЕРОГРАФИЯ

Оборудование: допплерограф «Сономед-300» фирмы Спекторомед (Москва).
Если Вас или вашего ребенка беспокоят головные боли, головокружения, шум в голове или в ушах, если снизилась память, внимание, способность концентрироваться, если по утрам Вы просыпаетесь с “тяжелой” головой, если появились беспричинные состояния беспокойства, тревоги, мы рекомендуем Вам пройти обследование с использованием ультразвуковой методики для оценки кровообращения головного мозга — транскраниальной ультразвуковой допплерографии.
Транскраниальная допплерография используется при таких состояниях, как:
- мигрень
- различные виды головных болей
- головокружения
- клинические признаки нарушения мозгового кровообращения.
- шум в голове или в ушах
- последствия черепно-мозговых травм
- повышенная зависимость от изменений погоды
- плохая адаптация к внешним нагрузкам (укачивание в транспорте, метеозависимость и т.д.).
Если Вы перенесли инсульт, то допплерографию необходимо провести для прогнозирования степени восстановления нарушений, развития осложнений и рецидивов заболевания.
У детей показаниями для исследования являются:
- задержка развития речи,
- неусидчивость, расторможенное поведение, утомляемость
- у дошкольников — проявления астенических состояний с повышенной утомляемостью, снижением памяти и внимания.
[ закрыть ]
УЛЬТРАЗВУКОВЫЕ ИССЛЕДОВАНИЯ

Новейшая ультразвуковая система экспертного класса HitachiArietta объединила в себе все самые прогрессивные и современные разработки компаний HITACHI и ALOKA. Высочайшее качество визуализации и предельная информативность исследования достигаются за счёт использования передовых технологий обработки изображения и продвинутых режимов исследования.Это одна из самых современных усовершенствованных систем, соответствующая всем международным стандартам, позволяющая на самом высоком уровне оценить состояние основных сосудов головного мозга, сердца, брюшной полости и конечностей.
С помощью данного аппарата возможно оценить степень атеросклеротического поражения сосудов на самом раннем этапе, проследить структуру сосудистой стенки, вычислить объем поражения сосудов атеросклеротическими бляшками.
Цветное допплеровское картирование позволяет быстро определить пространственную ориентацию потоков.
Области применения:
- Абдоминальные исследования
- Гинекология
- Кардиология
- Сосудистые исследования
- Неврология
- Травматология и ортопедия
- Урология
- Эндокринология
- Педиатрия
- Неонатология
- Транскраниальные исследования
- Онкология
[ закрыть ]
В отделении проводятся следующие виды УЛЬТРАЗВУКОВОГО ОБСЛЕДОВАНИЯ:
В нашем диагностическом отделении используется высокоточная, современная аппаратура экспертного уровня для продвинутых исследований:
Ультразвуковой сканер Hitachi Aloka ARIETTA V70 с расширенными возможностями эластографии
Обладает следующими преимуществами:
Диагностическая достоверность Высокое качество визуализации и предельная информативность исследования достигаются за счёт использования передовых технологий обработки изображения и продвинутых режимов исследования.
Гармоническая визуализация Сочетание высокой проникающей способности и пространственного разрешения. Использование тканевой гармоники позволяет снизить шум и уменьшить влияние артефактов, что положительным образом сказывается на чёткости изображения.
- УЗИ органов брюшной полости: исследования печени, желчного пузыря, желчевыводящих протоков, поджелудочной железы. Комплексная программа УЗ-исследования брюшной полости включает также УЗИ селезенки, почек и брюшного отдела аорты.
- Функция эластографии сдвиговой волны Известно, что развитие фиброза печени у больных вирусным гепатитом C и B повышает риск канцерогенеза, поэтому для ведения пациентов необходима точная оценка стадии фиброза. Эластография с помощью ультразвуковой системы выглядит многообещающим и перспективным инструментом для неинвазивной оценки степени фиброза.
- ARIETTA V70 поддерживает комплексную диагностику диффузных заболеваний печени, позволяя измерять индекс фиброза печени в режиме компрессионной эластографии, которая показывает степень фиброза, и в режиме эластографии сдвиговой волны, которая выявляет степень фиброза, воспалительные процессы, застой и желтуху.
Компрессионная эластография
особый режим УЗИ, при котором исследуется жесткость и эластичность тканей. Метод позволяет с точностью до 85-95% диагностировать узлы, узловые образования и иные патологические процессы. При этом диагностика является неинвазивной, безболезненной и безвредной для пациента.
Исследование дает врачу возможность, не прибегая к пункции, определить наличие фиброзного процесса в тканях и его стадию, отследить динамику патологических изменений, оценить эффективность проводимого лечения и т.д.
- УЗИ органов забрюшинного пространства
- Исследование почек, исключение объемных процессов надпочечников. Комплексная программа УЗИ включает также изучение магистрального кровотока почечных артерий.
- УЗИ органов малого таза. Специальные программы обследования в гинекологии и урологии. Это разные алгоритмы исследования физиологических состояний и заболеваний матки, яичников и придатков (у женщин); патологических процессов предстательной железы и мочевого пузыря (у мужчин).
- УЗИ щитовидной железы. Высокоинформативная диагностика разных патологий щитовидной железы, может включать УЗИ подчелюстных и околоушных слюнных желез, исследование регионарных лимфатических узлов данной локализации
- УЗИ молочных желез. Выявляет объемные патологические образования, уплотнения, очагиобызвествления молочных желез с оценкой регионарных лимфатических узлов
- УЗИ сердца (эхокардиография).
Обследование полостей сердца и крупных сосудов, оценка работы клапанного аппарата, гемодинамики. Метод позволяет диагностировать врожденные и приобретенные пороки сердца, объемные образования и другие патологические состояния исследуемой области.
Цветное допплеровское картирование позволяет быстро определить пространственную ориентацию потоков.
Показания к исследованию:
- ишемическая болезнь сердца;
- боли в области сердца различной этиологии;
- у больных с поражениями сосудов головного мозга для уточнения наличия сочетанного поражения сосудов сердца и головного мозга
- врожденные и приобретенные пороки сердца.
- в дифференциальной диагностике приступов и обмороков различной этиологии
- немотивированная слабость при физической нагрузке
- Особенно важно с диагностической точки зрения проводить эхокардиографию детям и подросткам, т.к. интенсивное развитие ребенка может привести к различным жалобам при занятиях спортом
Цветное допплеровское картирование позволяет быстро определить пространственную ориентацию потоков.
Показания к исследованию:
- ишемическая болезнь сердца;
- боли в области сердца различной этиологии;
- у больных с поражениями сосудов головного мозга для уточнения наличия сочетанного поражения сосудов сердца и головного мозга
- врожденные и приобретенные пороки сердца.
- в дифференциальной диагностике приступов и обмороков различной этиологии
- немотивированная слабость при физической нагрузке
Особенно важно с диагностической точки зрения проводить эхокардиографию детям и подросткам, т.к. интенсивное развитие ребенка может привести к различным жалобам при занятиях спортом.
Дуплексное сканирование назначается при:
- разных стадиях атеросклеротического поражения сосудов брахиоцефальной системы (утолщение и уплотнение стенок сосудов, атеросклеротические бляшки, стеноз и/или окклюзия магистральных артерий)
- воспалительных изменениях сосудов (локальный и системный артерииты)
- заболеваниях вен (недостаточность, варикозная болезнь, тромбофлебиты)
- аномалиях развития (гипоплазия, извитость сосудов)
- других патологических состояниях сосудов (расслоение, мальформация, аневризмы и. т. д.).
[ закрыть ]
ДУПЛЕКСНОЕ СКАНИРОВАНИЕ СОСУДОВ
В октябре 2019 года в отделении установлена новая современная ультразвуковая система экстракласса ARIETTA, предназначенная для диагностики заболеваний сердечно-сосудистой системы как на этапе скининга так и на этапе дифференциальной диагностики.
Это одна из самых современных усовершенствованных систем, соответствующая всем международным стандартам, позволяющая на самом высоком уровне оценить состояние основных сосудов головного мозга, сердца, брюшной полости и конечностей.
Обладает следующими преимуществами:
Картирование кровотока в высоком разрешении В режиме eFlow (или Fine Flow) происходит динамическое отображение кровотока в высоком пространственном разрешении с повышенной чувствительностью и минимальным наложением на ткани. Одинаково хорошо отображаются как медленные потоки в периферических сосудах, так и быстрые потоки в магистральных сосудах и сердце.
Объемная визуализация кровотока Специальная программа позволяет отобразить кровоток во всём объёме интересующей области
Автоматизированное измерение комплекса интима-медиа при сканировании сосудов С помощью функции Automated IMT Measurement возможно быстрое автоматизированное количественное исследование комплекса интима-медиа сосуда.
Автоматическое вычисление показателей гемодинамики Функция распознавания допплеровского спектра Real-time Doppler Auto Trace позволяет автоматически получать информацию о параметрах гемодинамики.
С помощью данного аппарата возможно оценить степень атеросклеротического поражения сосудов на самом раннем этапе, проследить структуру сосудистой стенки, вычислить объем поражения сосудов атеросклеротическими бляшками.
Цветное допплеровское картирование позволяет быстро определить пространственную ориентацию потоков.

Дуплексное сканирование назначается при:
- разных стадиях атеросклеротического поражения сосудов брахиоцефальной системы (утолщение и уплотнение стенок сосудов, атеросклеротические бляшки, стеноз и/или окклюзия магистральных артерий)
- воспалительных изменениях сосудов (локальный и системный артерииты)
- заболеваниях вен (недостаточность, варикозная болезнь, тромбофлебиты)
- аномалиях развития (гипоплазия, извитость сосудов)
- других патологических состояниях сосудов (расслоение, мальформация, аневризмы и. т. д.).
[ закрыть ]
сотрудники отделения

гребенщикова Руслана Владимировна
Заведующая отделением, врач-рентгенолог высшей категории


Шилова Анастасия Витальевна
Врач-рентгенолог, врач ультразвуковой диагностики, кандидат медицинских наук


Рентгеновское отделение
— 6-й корпус, 1-й этаж (кабинет МРТ); 2-ой корпус, 1 этаж
Наш инстаграмм
Понедельник – пятница с 9:00 до 16:00
